診療案内/インプラント
SHINAGAWA DENTAL CLINIC
インプラント
インプラントとは?
インプラントとは人工歯根のこと。「第二の永久歯」とも呼ばれています。歯と同時に失った噛む力を取り戻すためだけでなく、残った健康な歯を守っていくためにインプラント治療は有効な手段です。当院では歯科用CTやガイドサージェリーを用いたコンピューターシミュレーションによる正確で的確な調査のもと、治療を行っていきます。更に当院のインプラント治療は10年間の保証つきで、アフターフォローも万全です。
インプラントの構造は、アバットメント(支台部)とインプラント体(歯根部)の二つに分けられます。 この上に上部構造補綴物(人工歯)を被せます。
インプラントは人体との親和性が高いチタンでつくられているので金属アレルギーの方も安心です。天然歯のような審美性と、これまでの入れ歯やブリッジでは難しかった自分の歯のように噛めるという機能性が回復します。自分の歯とほとんど変わらない見た目や噛み心地で、会話や食事を楽しむことができます。

天然歯
天然歯の表面は、中の象牙質を保護するために、硬いエナメル質で覆われています。個人によって歯の色と形は異なります。
天然歯の歯根膜は、あごの骨に歯根をしっかりと固定する役割があります。

インプラント
セラミック人工歯は、天然歯の色と形に合わせることが可能です。
アパットメント(支台)は、人工歯とインプラント体(人工歯根)を固定します。
インプラント体は、強固な土台としての役割があります。表面は、骨と結合するようにデザインされています。
インプラントメーカー「ストローマン」

当院では、「ストローマン」というメーカーのインプラントを使用しています。「ストローマン」は世界のインプラント市場でナンバー1のシェアを持つインプラントメーカーです。(straumann ANNUAL REPORT 2012より(Millennium Research GroupおよびiDataに基づく自社調べ))
世界で500万人以上の患者さんがストローマンインプラントによる治療を受け、患者さんの生活の質の向上に貢献しています。
インプラントの種類

スタンダード
1回法に適した最適軟組織レベルのインプラント。均一な応力分散による骨維持と、長期的な審美を実現。

スタンダードプラス
1回法・2回法の選択ができるインプラント。審美的要求の高い部位にも対応できる柔軟性が特徴。

ボーンレベル
抜歯後の即時埋入や前歯部や骨移植を伴う埋入に適したインプラント。優れた初期固定が獲得できる。
画期的なインプラントの新素材「Roxolid」
ロキソリッド(Roxolid)とは、インプラントの素材として開発されたジルコニウムとチタニウムの合金です。純チタンよりも20%強度が上がり、従来よりも細いインプラントを使用できます。よって、これまで骨が足りなくてインプラント治療ができなかった方、手術で骨を増量するのが嫌だった方でも、強度が安全可能な範囲で健康な骨が残っていればインプラント治療が可能になりました。
- 患者さまのメリット
-
- ●治療期間の短縮
- ●治癒の早期化
- ●痛みの軽減
- ●費用の軽減
- ●手術による外傷や術後の不快症状の軽減
SHINAGAWA DENTAL CLINIC
当院のインプラント治療への取り組み「6つの安心ポイント」
1.歯科用CT「ASAHIレントゲン」


コンピュータを駆使したデータ処理と画像の再構成で、3次元の立体画像を撮影することができる装置です。インプラント治療では、埋入する部位の骨の状態(質や厚み、高さ、形態など)を正確に判断することが可能になります。歯科用CTでの撮影画像をもとに、的確な治療計画を立てることができるので、より安心して治療を行うことができます。
2.シミュレーションソフト「Dental Wings」
「Dental Wings」とは、技工物の設計をする際に使用するデザインソフトウェアです。幅広いインプラント補綴の設計を効率的に行えます。
このシミュレーションソフトで技工所が理想的歯の位置を決めます。そこに対して歯科医師がインプラント埋入の計画を立てていきます。
3Dデータで細部まで緻密な計画を立ててからガイドに起こすことで、あらゆる症例に応じた技工物の作成が可能であり、手術の時間を格段に短くすることができます。
3.痛くない、腫れない、歯肉を切らない「ガイドサージェリー」
ガイドサージェリーの特徴
- インプラントを正確な位置に埋入
- ガイドサージェリーとは、撮影したCT画像をもとに患者さんの顎骨の模型を作り、「サージカルガイド」を作製する手法です。作製されるガイドは誤差0.何ミリという精度の高さで、このガイドを用いることで「フラップレス」(歯肉を切開しない)の手術が可能になります。
- 切らない、痛くない、腫れが少ない
「フラップレス」 - 通常のインプラント手術では、歯肉を切開(フラップ)し、ドリルで骨に穴を開けインプラントを埋めます。一方、フラップレスは、歯肉や骨に直接小さな穴を開けて、インプラントを埋める治療法なので、口腔内のダメージや患者さんへの負担が最小限で済みます。
- 手術時間が短くできるので負担が少ない
- 正確に作製されたガイドに従ってインプラントを埋入する手術法なので、通常のインプラント手術法に比べて、大幅に手術時間を短縮 することが可能となり、患者さんへの負担が少ないです。
- インプラントの本数が多い場合に有効
- インプラント手術は、時間がかかるうえ患者さんに負担の大きい手術となりますが、このガイドサージェリーを利用することで、正確で手術時間を大幅に短縮し、なおかつ歯肉を切開する必要がないため、本数が多いインプラント手術には効果的な手法です。
おおまかな手術までの流れ
1.ガイド製作用装置「GonyX」でスキャンテンプレートの作成
2.スキャンテンプレートを装着してCT撮影
3.3D画像でのプランニングでインプラントの位置を決定
4.サージカルガイドの作成後正確にインプラントを埋入する
4.安全・正確・精密な骨切削機器を用いた「ピエゾサージェリー法」
ピエゾサージェリー法とは、超音波を利用して骨を切削する方法のことです。従来であれば、インプラント治療の際には、骨を削る場合にはドリルを使用します。しかしこの方法では、骨周辺の細かい神経や血管を傷つけてしまう可能性があります。そこで、骨を削る場合にドリルを使う代わりに、このピエゾ(超音波)を使うことで、骨周辺の神経・血管・歯肉などの軟組織にダメージを与えずに治療が行えます。
また、インプラントを埋入するには骨の高さや幅が不足している場合など、患者様への負担が大きい難症例や、高度な技術を要する症例に対しても、従来よりも安全に、短時間で正確なアプローチが可能になります。全てのインプラント手術に応用できるわけではありませんが、手術時間・治療期間の短縮、安全で正確な治療を容易に行うことができるため、患者様への身体的・精神的ストレスの軽減に繋がります。
※ピエゾとは一般的に日本語で「電圧」と訳され、機械的な力が電子信号へ、逆に電子信号が機械的な力へ、と変換される現象を意味します。身の回りでは。スピーカーやエレキギター、デジタルカメラのフォーカス機能、インクジェットプリオンターなどにも利用されています。
5.医療機関との連携
当院では包括なインプラント治療のために、医療大や札幌医大などの医療機関の口腔外科専門医との協力体制と情報交換を日頃から行っております。
全身麻酔などが必要な超難症例(骨がほとんど無く、大掛かりな骨再生の手術が必要な場合など)は、院長自らが臨床研究正として医療大の方で手術を行います。難症例によっては札幌医大の口腔外科専門医が当院にて治療を行います。
患者様に安全で快適な治療を受けて頂けるよう、緻密な計画を立て、然るべき環境と専門のメンバーで手術を行いますので、より安心して治療を受けることができます。
患者様の症状に応じて医療機関と連携して診療しておりますので、不安な点や疑問に思ったことは、些細なことでもお気軽にご相談下さい。患者様の安全・安心を最優先に、納得して治療を受けて頂けるようじっくりご相談にのらせて頂きます。

6.インプラント治療10年保証
インプラント治療10年保証のガイドデント認定を受けています。
インプラント10年保証とは
全国の主要都市にあるガイドデント認定歯科医療機関で「保証書」が有効となる業界唯一のインプラント保証です。ガイドデント認定の歯科医師によるインプラント治療を受けていただいた患者さまに対し、インプラント体埋入手術後10年間、万が一再治療が必要になった場合に、インプラント保証規約に基づきガイドデント認定歯科医師が責任を持って再治療を行います。
インプラント治療が完了した時点で、患者さまに「インプラント10年保証書」が発行されます。下記のような場合、保証書記載の保証限度額を上限に無償で再治療を受けることができます。なお、定期メンテナンスを受診されていない場合には、無償で再治療を行うことができませんので、十分ご注意ください。
※インプラント手術から2年間は1年間に2回、3年目以降10年目までは1年間に1回受診していただきます。

- 保証適用例
-
- ・かたい物を噛んだ際に、上部構造が破折した。
- ・所定の定期メンテナンスを受けていたが、インプラント体が脱落または破折してしまった。
インプラント10年保証の特徴
転居後も安心の全国ネットワーク保証
ライフスタイルの変化にともなう転居、また歯科医院の移転・廃院にも柔軟な対応が可能です。
第三者による公正で透明な保証制度
公平・中立な第三者の保証機関が関与することで、再治療に対する適正かつ迅速な審査が可能です。インプラントや人工のが破損した場合にも、 スムーズな手続きとすみやかな再治療をお約束します。
保証の安全性そのものを高める工夫
めまぐるしく変化する現代において10年という長期の保証を確実なものとする目的で「第三者関与のしくみ」を導入し、保証機関内におけるリスク分散のために海外の再保証会社で再保証するなど、保証の安全性そのものを高める工夫をしています。
SHINAGAWA DENTAL CLINIC
インプラント、義歯・入れ歯、ブリッジの比較
インプラント/平均寿命10年以上または半永久的
インプラントとは人工歯根のこと。「第二の永久歯」とも呼ばれています。歯と同時に失った噛む力を取り戻すためだけでなく、残った健康な歯を守っていくためにインプラント治療は有効な手段です。
インプラントの構造は、アバットメント(支台部)とインプラント体(歯根部)の二つに分けられます。この上に上部構造補綴物(人工歯)を被せます。
インプラントは人体との親和性が高いチタンでつくられているので金属アレルギーの方も安心です。天然歯のような審美性と、これまでの入れ歯やブリッジでは難しかった自分の歯のように噛めるという機能性が回復します。自分の歯とほとんど変わらない見た目や噛み心地で、会話や食事を楽しむことができます。

- メリット
- ●自分の歯と同じように、違和感なく噛める
- ●見た目が美しく、天然歯とほとんど変わらない
- ●健康な歯を削る必要がない
- ●自分の歯を多く残せる
- デメリット
- ●手術が必要
- ●保険適用外のため治療費が高くなることがあ
- ●比較的、治療期間が長い
- ●全身疾患の状態によっては行えない場合がある(重度の糖尿病など)
義歯・入れ歯/平均寿命4~5年
義歯・入れ歯は失った歯の大切なかわりとなるものです。歯が1本もない人のための総義歯(フルデンチャー)と、部分的に歯がない人のための部分床義歯(バーチャルデンチャー)があります。
いずれも歯を抜いた部分の歯ぐきの粘膜で咬む力を支える構造になっています。このため、口の中の形態を正確に型取りすること、また粘膜の状態に合わせて義歯を微調整し、精密に適合させることが必要となります。
また、歯を抜いたまま放置していると、残っている歯が徐々に移動し、かみ合わせが悪くなり、咀嚼力(食物を噛み砕く能力)が低下してしまいます。また、残っている歯への負担が大きくなり、歯周病などの病気の原因にもなってきます。これらを防ぐためにも、ご自身のお口にあった義歯・入れ歯が必要なのです。

- メリット
- ●自費の材質によっては見た目がきれい
- ●比較的、治療が簡単で、治療期間が短い
- ●保険適用であれば比較的安価
- デメリット
- ●硬いものが食べにくい
- ●留め金など見た目が良くない
- ●発音がうまくできない場合がある
- ●食べ物が入れ歯に挟まると、むし歯の危険性が高まる
ブリッジ/平均寿命7~8年
歯を抜歯した後、抜歯した歯の前後の歯を削って橋のようにつなげる方法です。
抜歯をするとそこには歯の隙間ができます。そのままにすれば周りの歯が動いて噛み合わせが悪くなったり、咀嚼力(食物を噛み砕く能力)の低下、残った歯への負担が大きくなり歯周病などになりやすくなります。そこで残っている前後の歯を土台にして橋(ブリッジ)をかけるように、2本の歯で3本の歯を作ります。違和感も少なく自分の歯のように噛めるのが特徴です。
ただし、前後の歯を削りブリッジの土台にするので、前後の歯が健康で丈夫であることが一番の条件になります。また、抜歯したのが奥歯だったりなど土台になる前後の歯がない場合も、ブリッジは使用できません。ブリッジが選択できない場合は、入れ歯かインプラント治療になります。
歯の位置にもよりますが、保険で治療できるのは連続で2本の欠損までになります。

- メリット
- ●固定されるので、あまり違和感がない
- ●自費の材質によっては見た目がきれい
- ●治療期間が短い
- ●保険適用であれば比較的安価
- デメリット
- ●支えになる前後の健康な歯を削らなければならない
- ●支えになる歯に大きな負担がかかる
- ●食べ物が歯肉とブリッジの間に挟まると、むし歯の危険性が高まる
SHINAGAWA DENTAL CLINIC
インプラント治療を受ける前に
骨が溶けてしまっている場合

サイナスリフト
サイナスリフトは、歯が生えていた部分の側面の歯ぐきからアプローチしていきます。骨の厚みが3~5mmよりさらに少ないときや、多数の歯が欠損しているときに行います。この場合、骨移植と同時にインプラント埋入をすることは困難になります。それは、骨が薄すぎてインプラントの固定が難しいからです。ですから、まずは骨移植のみを行い、骨がしっかりできるまでに3ヶ月~6ヶ月待ちます。無事に移植骨が固まったらインプラントの埋入になります。基本的にはこのように骨移植とインプラント埋入を別々に行いますので、歯が入るまでさらに4ヶ月~8ヶ月かかります。

ソケットリフト
ソケットリフトは、歯の生えていた部分から(歯を抜いたときはその穴から)アプローチしていきます。
サイナスリフトは、インプラントが埋入したときにしっかりと骨で固定されていることが大原則です。ソケットリフトは、しっかりとインプラントが固定できるだけの骨の厚み(最低3~5mm)がないとできません。メリットとして、骨の移植と同時にインプラントを入れることができますので、はじめに骨移植のみをするような場合よりも、歯が入るまでの期間が約3ヶ月ほど短縮されます。
また体への負担もサイナスリフトと比べると少ないので、腫れや痛みがほとんどありません。

骨移植
歯槽膿漏や虫歯で歯を失うと、歯ぐきが痩せたように見えますが、 これは歯を支えていた骨が溶けてしまったことが原因です。このような場合、骨や歯ぐきを移植することで、元の健康な状態に戻すことができます。骨移植とは、骨の再生を図る治療のことで、歯周組織再生療法の1つです。
インプラント治療は、まずインプラントをしっかりと支えるための骨の深さと厚さが充分にあるかが一番重要な条件です。
もし骨が無くなってしまっている場合でも、インプラント治療を可能にすることができます。
静脈内鎮静法
「手術は怖いし不安…」という患者様へ静脈内鎮静法を行うと、手術中のことはほとんど覚えてません。これを健忘効果といいます。 しかし、実際には、手術中は意識がある場合もありますし、眠ってしまう方もいます。いずれにしても、うっすらとした穏やかな意識の中で、薬の力で不安や恐怖心は全く感じなくなっています。「いつの間に手術が終わったのか分からなかった」と言ってしまうくらい、眠っている時とほぼ同じ状態で、いつの間にかインプラント外科手術が終了しているといった感じです。
静脈内鎮静法方法は、まず腕の血管(静脈)に点滴で麻酔液を入れます。そのコントロールは熟練した麻酔専門医により行われます。麻酔は5~10分程度で効いてきます。その後はインプラント治療が終了するまで寝ている状態です。手術が終了したら、鎮静薬の効力を無くす薬剤を点滴します。すると徐々に目覚めてきます。静脈内鎮静法終了後、自分で歩けますが完全に麻酔が切れるまで時間がかかりますので、車の運転や自転車での帰宅はできません。

SHINAGAWA DENTAL CLINIC
インプラント治療の流れ
最終的な歯が入るまで、下顎で3~4ヶ月、上顎で4~6ヶ月というのが平均的な期間です。上顎は下顎に比べ骨質がやわらかいので少し時間がかかります。また、インプラントを埋め込む部分に十分な骨がない場合は、骨量を増やす手術が必要となります。
| 1.無料カウンセリングと術前検査 |
十分なカウンセリングを行った後、レントゲン、口腔内写真撮影などから最適な治療方法を診断し、 今後の治療計画、費用など説明します。不安なことがある時はどんなことでも遠慮なくお話しください。 |
|---|---|
| 2.インプラントの埋込手術 |
インプラントを顎の骨に埋め込みます。手術は1回で行う1回法と2回に分けて行う2回法が有ります。1回法は顎の骨が硬くて量も十分ある方に向いている方法です。患者さんの希望と口腔内検査の結果を考慮し医師が適した方法を判断します。手術は無痛麻酔で行うので、痛みはありません。
|
| 3.結合安定期間 |
インプラントと顎の骨がしっかりと結合するのを待ちます。骨の状態により異なりますが通常は2~3か月で安定します。 |
| 4.人工歯の装着 |
噛みあわせを確認しながら人口歯を装着。インプラント治療の完了です。
|
| 5.メンテナンス(定期検診) |
インプラントの寿命を長く保つためには天然歯と同じように正しいケアが必要です。 治療後は半年に1度の定期検診を受けてください。検診では、かみ合わせのチェック、インプラント周囲の歯周病予防、正しいブラッシング法の指導などを行います。
|
SHINAGAWA DENTAL CLINIC
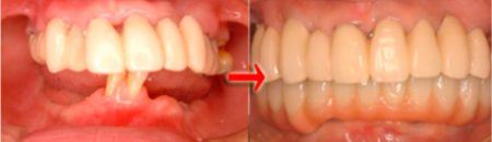
インプラント治療例
画像をクリックすると治療例がみれます。



