診療案内/矯正歯科
SHINAGAWA DENTAL CLINIC
治療の流れ
(永久歯列期・小学6年生以降の場合)
-
1.初診相談
お悩みやご要望はもちろん、治療方法・期間・費用などお話します。
-
2.精密検査
問診・視診・触診、口腔内・レントゲン撮影、歯列模型分析、顎関節の検査など
-
3.治療方針の説明
検査結果の説明をし、矯正方法の検討・説明をいたします。
-
4.矯正歯科治療
乱れた歯列を正しく美しい位置に整える。通院間隔は、1ヶ月に1回で1年半~3年間。
-
5.治療終了
すべての歯を、上下の顎のバランスを考えて、適切な位置に移動し終えた段階。
-
6.保定期間
通院間隔は半年から1年に1回程度で2~3年間ほど
-
7.予後観察修了
歯および顎の位置が安定したら、矯正治療は完了です。
SHINAGAWA DENTAL CLINIC
あなたはどんな歯並びですか?

出っ歯
上顎前突(じょうがくぜんとつ)
上の歯並びが下の歯並びよりも大きく前に出た状態。
- 〈原因は…?〉
- ・指しゃぶりや爪を噛む癖がある
- ・前歯を舌で裏側から押してしまう癖がある
- ・骨格性によるもの
- 治療法―機能的矯正装置
- 咬む力を矯正力に変える装置。ほとんどが上下一体のもの。
下のあごの骨の成長を促進させることにより、上下顎の前後的なズレである骨格的なバランスの悪さを改善していきます。

乱ぐい歯
叢生(そうせい)
歯の生えるあごのスペースより歯が大きく、バランスが崩れた状態。八重歯も叢生の一種。
- 〈原因は…?〉
- ・歯の大きさとあごの大きさのバランスが悪い
- ・乳歯が適正に抜ける時期より、早く抜けてしまうとき
- 治療法―床拡大装置
- 取り外し可能な装置を使って、歯列全体の横の幅を広げることでデコボコを治す矯正治療。
拡大床というプラスチックのプレートの中央に拡大ネジがあり、これを矯正器具で毎日少しずつ広げていきます。強い痛みや不快感はあまりないので、ご安心下さい。

受け口
下顎前突 (かがくぜんとつ)
下顎が上顎より前に出すぎた状態、もしくは下の前歯が上の前歯より出ている状態。
- 〈原因は…?〉
- ・前歯が反対に傾いてきている場合
- ・顎を前に突き出す、舌で舌の前歯の裏側を押しているなどの癖・遺伝的なもの
- 治療法―リンガルアーチ
- 上の前歯が反対に傾いているのが原因の場合に、歯軸を表側に改善させる治療。
この他、機能性矯正装置、拡大床装置など。

すきっ歯
空隙歯列(くうげきしれつ)
歯と歯の間に隙間がある状態の歯並び。前歯の真ん中に隙間がある場合は正中離開という。
- 〈原因は…?〉
- ・生まれつき歯の本数が少ない
- ・上唇から前歯歯頚部につながる小帯(ヒダ)の位置が下まで伸びてきている場合
- 治療法―ワイヤーを使用
- セラミックのブラケットという矯正装置に、ワイヤーを使った矯正治療で、広がった歯列を詰める治療。
また、インビザラインと言われるマウスピース型の矯正装置でも対応可能です。

開咬
(かいこう)
奥歯はしっかり噛んでいるのに、上下の前歯が噛まずに隙間がある状態。
- 〈原因は…?〉
- ・指しゃぶりの癖が5、6歳になっても取れなかった場合
- ・上下の前歯と前歯の間に隙間がある場合遺伝的なもの
- 治療法
- 子供の頃に、顎の成長をコントロールしながら行うと、さほど問題なく 綺麗に矯正治療が出来ると思います。しかし、大人になってからだと、外科矯正が必要な場合が多くなります。どうしようか迷われている方、不安に思われている方、説明を詳しく聞きたい方は、お気軽にご相談下さい。

交叉咬合
(こうさこうごう)
顎がずれて、上下の歯のかみ合わせが正常な場合とは反対になっている状態。
- 〈原因は…?〉
- ・上下の顎にずれがありかみ合わせが悪い
- ・指しゃぶり、舌癖、ほおずえ、爪を噛むなどの癖
- 治療法
- 成長期であれば、顎の成長に合わせて治療が行えます。 大人になってからの場合は、歯並びの矯正だけで治すことができる場合もありますが骨格性の場合は、外科矯正が必要となります。
SHINAGAWA DENTAL CLINIC
子どもの矯正
矯正治療はいつぐらいから
始めたらいいのだろう?
おおよその目安となる最適な年齢は6、7歳くらいが多いです。
歯並びをよくして矯正治療することそのものは何歳からでもできますが、出来るだけ歯を抜かずに、顎の成長に合わせて矯正治療をしようとするのであれば6、7歳がベストです。歯がデコボコ(八重歯)の場合は大人でも十分矯正歯科治療できますが、大人になってからの矯正治療はどうしても、抜歯や外科の手術を伴う外科矯正が必要なことが多いのです。また、上下の顎の関係が悪い(出っ歯や受け口など)ような不正咬合では、顎の骨が成長している時期から矯正治療したほうが、良好な結果になることが多いです。
治療時期の正確な判断は矯正歯科専門医でないと分からないことが多いため、早めに相談だけでもしておくことが大切です。

小児矯正【Ⅰ期治療】約6歳~小学校低学年
乳歯と永久歯が混在して生えている混合歯列期、いわゆる大人の歯に生え変わる時期の矯正です。約6歳~小学校低学年が目安です。上下や左右、そして全体の顎の骨のバランスや大きさを整えて、あごを横方向に拡大することによって、永久歯がきちんと生えるスペースを確保することが目的の治療になります。また、取り外し式が一般的です。早めに対応することで、本格矯正(Ⅱ期治療・永久歯での矯正期間)が短縮でき、後戻りも少なくなるなど、子ども本人の負担も軽くすみ安心です。
本格矯正【Ⅱ期治療】小学校高学年以降
永久歯がある程度生えそろった歯並びになってから、小学校高学年以降の子ども以降が対象です。永久歯が生えそろい、顎の成長が終わってからブラケットと呼ばれる、大人の矯正と同じような感じで、綺麗に並べて、整えてかみ合わせも良くしていきます。
メリットとデメリット
メリット
- ●歯並びや顎などバランスのいい綺麗な状態になる
- ●矯正時の痛みが少ない
- ●外科矯正をしなくて済む
- ●抜歯をしなくて済むことが多い
- ●コンプレックスがなくなる
デメリット
- ●Ⅰ期とⅡ期のトータルでは、矯正治療にかかる期間が長くなる場合がある
- ●親御さん・ご家族の協力やサポートが必要
- ●きちんとした歯磨きの習慣が必要
SHINAGAWA DENTAL CLINIC
大人の矯正
きちんとした噛み合わせが、
全身の健康につながる。

歯並びの乱れは体のさまざまな所に悪い影響を与えてしまいます。たとえば、一見関係ないであろう胃腸に負担がかかると言われており、肩こり、首痛、頭痛、姿勢の悪さなどを引き起こすこともあるとされています。また、矯正治療で歯並びを整え、しっかりと噛めるようになることによって、血流が良くなる・集中力や記憶力の向上・筋力が上がる・瞬発力が高まるなど、いうことも分かってきました。
歯はこれからの長い人生、最後までずっと付き合っていく身体の一部です。大人になってからでも、きちんとした噛み合わせにすることで全身の機能向上につながるのです。
SHINAGAWA DENTAL CLINIC
希望に沿った治療方法
デイモンシステム/痛みが少ない
ワイヤーを固定せず、自由にさせる新しい矯正の治療法。
従来の歯にブラケットと呼ばれる矯正器具を装着し、そのブラケットをワイヤーで引っ張ることで歯を目的の位置へ移動させる方法より、ワイヤーの動きが固定されないため、優しい力でスムーズに良好な結果を得ることができます。
結果を得ることができます。また、白く透明なオールセラミックのブラケットのため従来の銀色のメタルのブラケットよりも目立たちません。
今までの矯正治療のような「矯正治療しています」といったようなことがないため矯正治療に対する抵抗が減り、安心して使用いただけます。

メリット
- ●自分の痛みが少ない
- ●歯ミガキしやすい
- ●治療期間が短縮できる
- ●通院回数が少なくて済む
デメリット
- ●歯並びや上下の顎の状況によっては、適応できない場合がある
- ●構造が若干複雑で、従来のメタルのブラケットより厚みがあり多少違和感がある
マウスピース矯正/簡単に装着できる
インビザラインといい、米国のアラインテクノロジー社が開発した、薄くて透明感のあるマウスピース型の矯正装置で、世界で250万人の患者さんに使用されています。(2013年12月)
クリニックで型を取り、完成されてきたオーダーメイドのマウスピース型の矯正装置を、ご自宅で2週間に1度交換しながら歯を徐々にゆっくりと動かすので、通院間隔が少ないのが特徴です。
素材はSmartTrackという厚さ0.5mmほどの透明なプラスティックシートを使用しています。SmartTrackは、従来のマウスピース矯正の素材よりも透明度が高く見た目もほとんど気になりません。

メリット
- ●痛みが少ない
- ●取り外しができて衛生的
- ●金属アレルギーの心配がない
- ●食事の時は外し、矯正前と同じ食生活ができる
デメリット
- ●食事の時に取り外し忘れた場合は、食事のあと すぐにインビザラインを外し、しっかり洗浄し、ご自分の歯もしっかり歯磨きして綺麗な状態を維持する。
裏側矯正/見えない矯正
舌側矯正と呼ばれる「見えない矯正」とは、普通は歯の表側に取りつける矯正装置を、歯の裏側に取りつける矯正治療の方法のことです。
舌に矯正装置が当たる不快感がかなり減り、他の人に気づかれずに、自然な感じで、矯正治療をすることが出来るようになりました。

メリット
- ●矯正していることを他の人に気付かれない
- ●むし歯になりにくい
デメリット
- ●慣れるまで発音がしにくい
- ●費用が割高になる
- ●時間がかかる
SHINAGAWA DENTAL CLINIC
TCH(歯列接触癖)
顎に大きな負担をかけるTCH

TCHとは「Tooth Contacting Habit」の略。食事や以外の何もしていない時に、無意識に上下の歯を接触させる癖のことをいいます。上下の歯の接触は、会話や食べ物を咬んだり飲み込むときに起きます。1日の接触時間の合計は平均17.5分とされています。つまり、通常何もしていない時は上下の歯は接触していないものなのです。
しかし、「パソコンで作業しているとき」「テレビや本を見ているとき」「料理を作っているとき」など何らかの作業をしている時に、気付かずに長時間にわたり上下の歯を接触させている人がいるのです。東京医科歯科大学の調査では、顎関節症の患者さんの8割が、一般の人の2割程度にTCHがみられると推察されています。
TCHの問題点
強い噛みしめや食いしばりは長時間続けることは難しいのですが、「弱い歯の接触」は無意識に続けていることが多くあります。
気付かずに長時間にわたり上下の歯を接触し続けることにより、弱い力でも少しずつダメージが蓄積されて歯の寿命は確実に短くなります。
また他にも身体にさまざまな悪い影響を与えます。
お口の中の症状
- ・詰めもの、さし歯が外れる
- ・舌の痛み、違和感
- ・入れ歯の痛み、違和感
- ・舌や頬の粘膜を誤って咬む
- ・歯が削れる、割れる、折れる
- ・口内炎
- ・歯が沈み込む
- ・ドライマウス(口腔乾燥症)
- ・歯がしみる(知覚過敏)
- ・かみ合わせの違和感
- ・根の治療をしている歯の痛み
- ・口が開きにくい(開口障害)
- ・歯周病の悪化
お口以外の症状
- ・顎の痛みや違和感(顎関節症)
- ・頭痛
- ・目の痛み
- ・耳鳴り
- ・肩こり
- ・腰痛
TCHの改善方法
TCHの改善方法は歯科医院で指導を受けながら上下の「歯を離す癖」をつけていきます。
- ①「歯を離してリラックス」と書いたシールや紙などを作る。
- ②パソコンやテレビ、冷蔵庫、机など身の回り10ヶ所ほどに貼る。
- ③それを見たら一旦息を吐いて肩から頭までをリラックスさせる。唇は閉じるが上下の歯が接触していない状態を確認する。
これを毎日10回以上繰り返すことで「歯を離す癖」をつけます。睡眠中の歯ぎしりとは異なり、患者さん自身で治していくことが可能です。 また、睡眠中の歯ぎしりから歯を守るには、マウスピースを使います。(健康保険が使えます)

SHINAGAWA DENTAL CLINIC
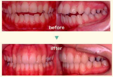
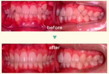
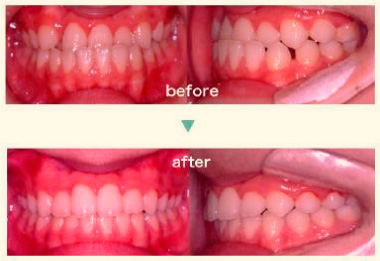
矯正歯科治療例
画像をクリックすると治療例がみれます。

